-
- UNIDADES
- UCA INFANTIL
- SERVICIOS
- PATOLOGÍAS
- INVESTIGACIÓN
- NOTICIAS
Menu
24/06/2024 Leer más +
El doctor Mikel Sánchez, reconocido en Estados Unidos por TOBI, el congreso de referencia mundial en medicina regenerativa
12/06/2024 Leer más +
El doctor Josep María de Bergua, de la UCA Infantil, reconocido por la Fundación ALPE
03/02/2022

El hombro flotante es una lesión en la que se pierde la estabilidad del complejo suspensorio del mismo. Se define como dos o más lesiones de sus componentes óseos o ligamentarios. Es un tipo de lesión poco frecuente que se asocia a mecanismos de alta energía.
Exploramos el caso clínico de un varón de 55 años que tuvo una caída accidental de Mountain Bike que le derivo en una fractura de escápula, glena desplazada y clavícula izquierda.
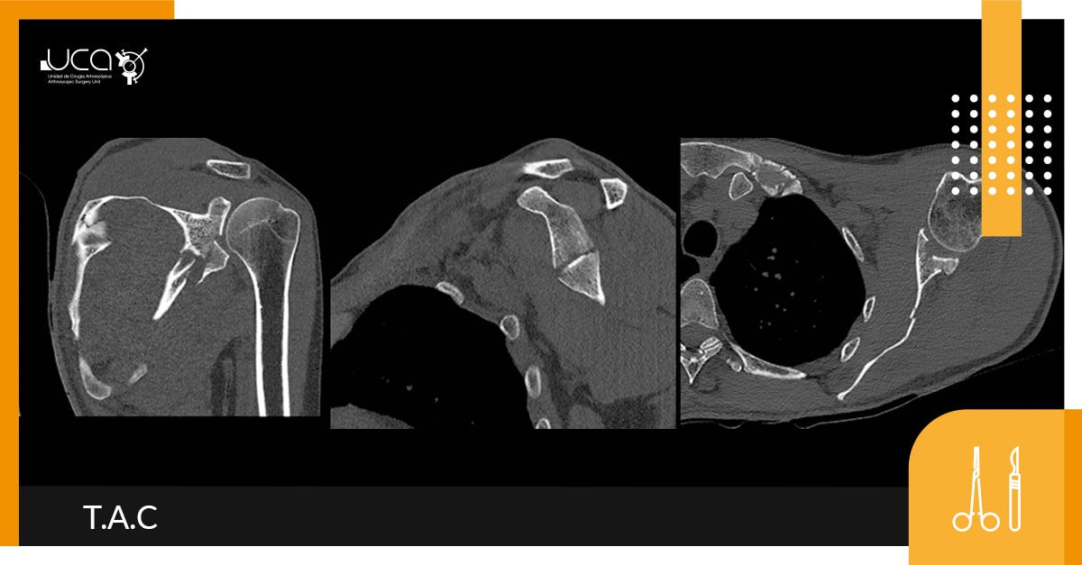
El T.A.C. nos muestra una fractura compleja de escápula que presenta un trazo en el cuerpo que se extiende al cuerpo y en el aspecto marginal a la glenoides. El trazo del cuello es oblicuo de inferior a superior desde el margen escapular lateral superior al borde medial y afectando a la espina de la escápula.
La afectación glenoides afecta a la glenoides inferior, es intraarticular, con un trazo completo. El fragmento glenoideo posterior e inferior esta desplazado de forma inferior, mide 18x24mm.



Abordaje posterior a pilar lateral escapular entre infraespinoso y redondo menor.
Se evidencia la fractura escapular conminuta con trazo glenoideo inferior.
Se realiza reducción y osteosíntesis con placa de neutralización anatómica de pilar lateral.





6 meses después de pasar por quirófano, nuestro paciente ha podido volver a practicar con éxito una de sus actividades favoritas: la escalada. Un deporte muy exigente para el hombro y cuya práctica define a la perfección el éxito total de la intervención.
